ENFERMEDAD PULMONAR POR RADIACIÒN
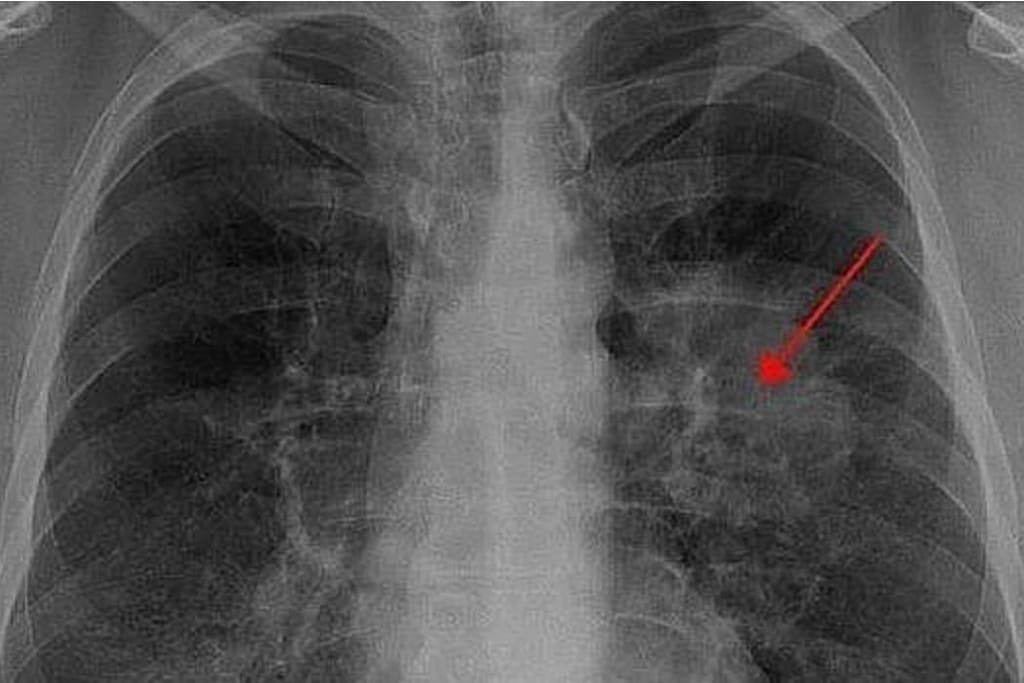
La enfermedad pulmonar por radiación es consecuencia de la radioterapia administrada en la región del tórax para tratar el cáncer de pulmón, de mediastino, de mama o un linfoma. La radioterapia provoca un efecto biológico en las células sanas y neoplásicas por lo que el daño pulmonar siempre está presente; sin embargo, su magnitud depende de factores del paciente y del esquema radioterápico.

La lesión pulmonar inducida por radioterapia (LPIR) comprende dos fases: una fase temprana conocida como neumonitis por radiación (NR), caracterizada por inflamación aguda del tejido pulmonar como resultado de la exposición a la radiación; y una fase tardía llamada fibrosis por radiación (FR), un síndrome clínico que resulta del daño crónico del tejido pulmonar.

Tipos de daño y manifestación
- Neumonitis por radiación (aguda): Es una reacción inflamatoria que ocurre entre el primer y tercer mes después de la radioterapia.
- Síntomas: Tos seca, disnea (dificultad para respirar), fiebre y dolor torácico.
- Fibrosis por radiación (crónica): Es el resultado del daño a largo plazo y aparece uno o dos años después.
- Síntomas: Dificultad para respirar progresiva, insuficiencia respiratoria e insuficiencia cardíaca.
- Cáncer de pulmón: La exposición al radón, un gas radiactivo que se forma a partir de la desintegración del radio, uranio y torio, aumenta significativamente el riesgo de cáncer de pulmón.
- Riesgo: El riesgo es directamente proporcional a la dosis de radiación recibida.
